
We are now at
our new office address!
4700 Whitesburg Drive
Suite 100
Huntsville, Alabama 35802
Located on Whitesburg Drive,
Mayfair Center,
next to First Horizon Bank
Neurology Institute of Huntsville
Small fiber neuropathy is a chronic condition that occurs due to damage to the small fibers of the peripheral nervous system. These small fibers relay information like pain and temperature sensations to other parts of your body. They also regulate autonomic functions, like your heart and respiratory rate.
Anyone can develop small fiber neuropathy, but it’s especially common in people with prediabetes and fibromyalgia. Fortunately, when detected early on, it’s possible to manage and treat.
Common symptoms of small fiber neuropathy include:
If your autonomic nerves are affected, you might also experience dizziness, dry eyes, dry mouth, or incontinence.
Small fiber neuropathy affects everyone differently. For some people, it’s a minor annoyance that flares up from time to time. For others, it results in chronic pain and mobility issues.
Often, small fiber neuropathy is a symptom of a more serious underlying health problem like:
You might also develop small fiber neuropathy due to Hepatitis C or Lyme disease.
To diagnose small fiber neuropathy, Dr. Kar conducts a physical exam and asks about your symptoms, including when they first started, their severity, and where they’re most noticeable. Afterward, he performs a nerve conduction (NC) test and electromyography (EMG). These tests help rule out large fiber peripheral neuropathies, which trigger similar symptoms.
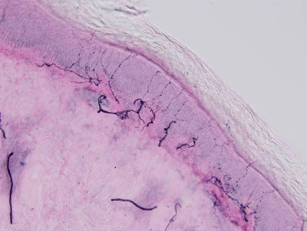
If the results of the NC and EMG tests are normal, Dr. Kar conducts a skin biopsy. During this mildly invasive screening procedure, he removes several small samples of skin from your legs. He places the samples under a microscope and assesses them for signs of small fiber neuropathy.
Treatment of small fiber neuropathy depends on the underlying cause. For example, if it occurs due to diabetes, Dr. Kar recommends healthy lifestyle changes and regular blood sugar monitoring.
If Dr. Kar is unable to pinpoint the source of your symptoms, he might prescribe a treatment plan that relieves your symptoms. Common methods of care include antidepressants, anticonvulsants, corticosteroids, and topical pain creams.
To receive treatment for small fiber neuropathy, make an appointment at the Neurology Institute of Huntsville by calling the office or clicking the online booking tool today.
Notes: We do skin biopsy for small fiber neuropathy. Need the following things: What is small fiber neuropathy? Symptoms of small fiber neuropathy Role of skin biopsy, Emg ncs usually normal, Causes, Treatment, Association with fibromyalgia
Loading...

Huntsville, Alabama 35802
Located on Whitesburg Drive,
Mayfair Center,
next to First Horizon Bank